Dental implants are one of the most popular treatments for missing teeth. They are a fixed replacement for lost teeth. An implant is a titanium post that is surgically placed in the jawbone. This post gets integrated with the bone and, once stabilized, acts as a sturdy foundation for a crown, bridge, or denture.

When compared to other teeth replacement options like dentures and bridges, implants are a superior treatment, as they are fixed treatments with better longevity and a more natural appearance.
At Dhriti Dental, Hyderabad, we provide the best dental implant treatment of high standards, using implants from well-reputed companies like Osstem, Straumann, and Nobel Biocare.


Dental implants have numerous benefits; these are listed below:
At Dhriti Dental, Hyderabad, we provide multiple types of implant treatments, depending on patient needs
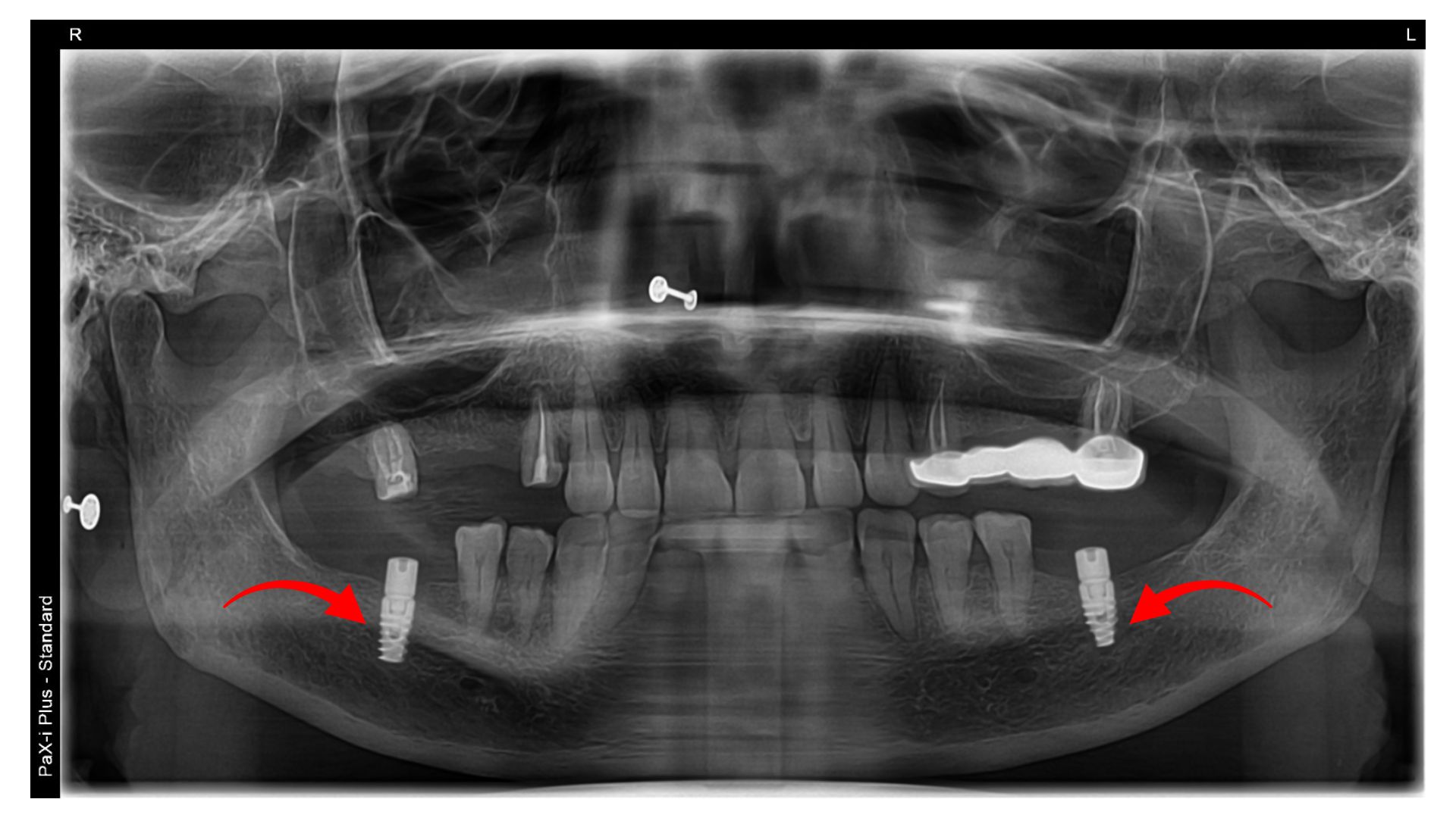
The most commonly placed implants, endosteal implants are directly placed into the jawbone. They provide a strong foundation and are used to replace one or more missing teeth. These are ideal for patients with healthy jawbones and have shown long-term success in tooth replacement. At Dhriti Dental, we place high-quality titanium implants.

In patients with severe bone loss, basal implants are used to gain anchorage from the basal (cortical) bone. This avoids bone grafting procedures and allows immediate placement of a crown on the implant. They are a quick and stable solution for fixed teeth in patients with minimal bone volume.

Zygomatic implants are long implants that gain anchorage from the cheekbone, or the zygoma. These implants are an ideal solution for patients suffering from extensive bone loss or bone resection following treatments for black fungus, cancers, etc. These implants bypass the need for bone grafting. These implants provide excellent support for full replacement of teeth on the upper arch. They can be restored immediately.

As the name suggests, pterygoid implants are placed in the pterygoid region of the upper jaw (behind the cheekbone). They are suitable for patients with insufficient bone in the upper back region of the jaw. These implants are used in challenging anatomical situations for full arch teeth replacement.
Full arch implants are used for replacing all the teeth of the jaw or to rehabilitate a completely edentulous jaw. All-on-4 treatments include using 4 implants to replace all the teeth of the arch, while all-on-X treatments include 4-8 implants in one arch. These treatment protocols offer a fixed and stable solution for patients with no teeth.
Patient-specific implants (PSI) are custom-designed implants made using advanced 3D imaging and CAD/CAM technology. These custom-fabricated implants offer maximum precision and aesthetic results. PSIs are advised for patients with unique anatomical challenges

Implants are a surgical treatment, and the entire workflow from the placement of the implant screw to the final prosthesis works on the same principles, regardless of the type of the implant. Here we have discussed the procedure for endosteal implant placements, as followed at our practices in Hyderabad, India
A comprehensive oral examination is performed, followed by X-rays or a CBCT scan. Bone density and gum health are evaluated. The situation and suitable treatment options are explained to the patients
Patient scans are used to choose the implant size; the requirement of bone grafting or other procedures is identified. The timeline, costs, and procedural steps are explained to the patient, and an implant surgery date is fixed according to patient comfort.
Implant surgery involves placement of the titanium implant screw into the jawbone; this is performed under local anesthesia. The implant is covered with a healing cap, and sutures are placed to protect the site of surgery.
A healing period of 3-4 months is required for endosteal implants to fuse with the bone. For aesthetic zones, a temporary restoration is provided during the healing phase
After ensuring healing with X-rays, a minor surgical procedure is performed to expose the implant head. An attachment is placed on the top of the implant, and tissues are allowed to heal around this attachment.
A custom-made crown is attached to the abutment after making an impression. Bite adjustments are made for optimum comfort and function.
Implant check-up appointments for cleaning and follow-ups should be made every year
Anyone above the age of 18 years with missing teeth is a candidate for dental implants. Adequate bone density and volume are required to support implants; it is also important to make sure there is no active periodontal infection present. Maintaining good oral hygiene, controlled metabolic disease (e.g., diabetes), and refraining from smoking help increase the longevity of the implant.
At Dhriti Dental, implant packages start at Rs 25,000, the prices depend on the brand and type of crown. The price may be affected according to bone quality and quantity present and the treatment protocols required to manage these jaw bone deficiences.
At Dhriti Dental, Hyderabad, our oral surgeon makes a personalized treatment plan for your implant needs. We ensure a comfortable and pain-free treatment experience. We customize our procedures to ensure a natural and functional smile.
We cater to all implant needs, from single implants to full arch dentistry. Dhriti Dental is the best dental implant clinic in Hyderabad! Book your appointment with your nearest Dhriti Dental branch (Nallagandla and Manikonda) now!
Brushing teeth, flossing, and using mouthwash daily, as well as regular dental checkups, are required for the maintenance of an implant to ensure its long life. Quitting smoking is also beneficial for the life of the implant. Basically, caring for an implant is the same as you would care for your natural teeth.
Dental implant surgeries are performed under local anesthesia. Postoperative pain may be experienced for a few days but can be managed with painkillers.
Bone grafting can be performed when the bone present is not enough. Zygomatic and pterygoid implants also give favorable results when the bone level is low.
Implants, when taken proper care of, can last a lifetime. Proper care and regular dental check-ups are important to ensure longevity.
Full mouth dental implants are a highly specialized treatment and costs around Rs. 4,00,000 at Dhriti Dental. This treatment includes fixed dental bridges over implants, replacing all your teeth.